Which bones are the metacarpals?
The Metacarpal Bones are the bones of the hand. They articulate or join up with the wrist joint on one side, and the bones of the fingers on the other side. The metacarpal bones are very strongly bound together by ligaments at either end. The ligaments and the shape of the joints at either end make the metacarpals very stable bones, which do not move much. Fractures of the metacarpals are very common, particularly fractures around the neck of the metacarpal in the ring or little fingers.


How do the metacarpals break?
The most common mechanism of breaking a metacarpal bone is punching something hard with the fist clenched. Metacarpals can also break, however, if they are twisted, and this is how rugby and football players generally get this injury.
In crush injuries and high energy injuries such as a fall from a bike, the injury pattern is less predictable, and more often unstable (see below).
How is the diagnosis made?
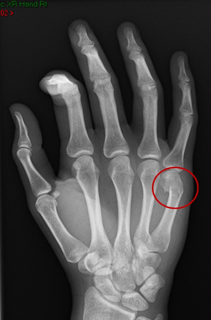
The diagnosis is made clinically. There is swelling and tenderness over the metacarpal, and the normal contour of the metacarpal head is lost when the fingers are curled into a fist. An xray will confirm the diagnosis.
What is the treatment?
The vast majority of metacarpal fractures are stable. This means that despite the break in the bone, the bone moves as one unit. The metacarpals are tightly bound to each other at both ends with strong ligaments. In addition, the muscles of the hand cover most of the bones, and these structures help to maintain the stability of the hand when a metacarpal is broken.
STABLE injuries will heal quickly and without treatment. Pain can be an issue initially, and for this reason the broken finger is often ‘buddy taped’ to the finger next door to help support it. It is important to keep the injured finger moving, and although buddy taping keeps the hand more comfortable, it is not necessary to tape the fingers. The bone heals quickly, within around 3-4 weeks in the majority of stable fractures.
In an UNSTABLE injury, or where 2 or more metacarpals are broken, there are a number of options:
Splint / plaster – The aim of using a splint or plaster is to provide stability to the hand for the first few weeks while the majority of healing occurs. Splints are recommended where the fracture is not too displaced.
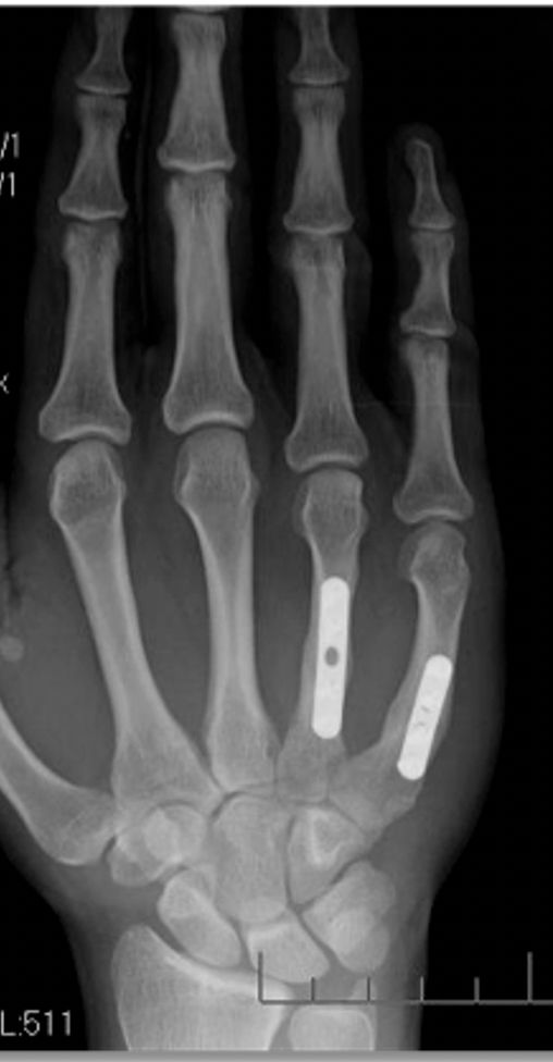
Surgery – Surgery may be recommended again where the injury is unstable. There are a number of different techniques used by surgeons including putting wires into the bone. Generally speaking, the preferred method of treatment in Fife is to use a bone plate.

How long will the injury take to heal?
Many factors influence the outcome of fracture healing, but the vast majority of fractures heal without complication and most fractures will heal within 4-6 weeks. Smoking have been proven to delay healing, and it is worth considering giving up(!). Vitamins C and D are important in bone healing, so a healthy diet helps too.
Rehabilitation following injury
It is safe to mobilise the hand immediately following a stable metacarpal injury. If the injury is unstable, a period of 10-14 days immobilisation may be recommended, but it is still important to keep the hand moving. Opening and closing a fist regularly (around 10 times every half an hour) will help prevent stiffness. Simple painkillers such as paracetamol or ibuprofen should be enough to help with the pain, but many patients do not need painkillers following this injury.
After the first week or two, or earlier if pain allows, the hand can be used for normal everyday tasks. By around 4 weeks, there should be no restriction.



Are there any complications of this injury?
Malunion
A fracture of the metacarpal ALMOST ALWAYS results in loss of the knuckle, or a dropped knuckle. This looks obvious when the hand is brought down into a fist, and there is a lump over the back of the hand at the level of the broken bone. This is called a malunion.
A malunion of the metacarpal does not usually affect the function of the hand, and we do not usually try to treat this, as it is a normal consequence of the injury rather than something which has gone wrong.
Extensor Lag
An extensor lag is the name given to the inability to pull the finger straight. This is common in the early stages following a metacarpal fracture, but usually resolves with time. Occasionally, the lag is permanent.
Other complications include stiffness or failure of the bone to heal, but these are relatively unusual.

© Lothian Virtual Hand Clinic 2023