What is a mallet injury?
A mallet injury refers to a tear in the tendon that straightens the end joint of your finger. This can be simply a tear is the tendon (soft tissue mallet) or a piece of bone can come off with the tear (bony mallet).

What causes the injury?
The injury occurs, classically, due to a sudden and often forceful flexion of the last finger joint. This can occur whilst performing sports or simply catching your finger tucking in bed sheets.
What are the symptoms?
Pain and swelling over the end finger joint, along with an inability to straighten the finger. The finger will usually bend at the end finger joint, although this too may be restricted because of pain. Bruising over the joint comes out within a few days and this often tracks down the finger.
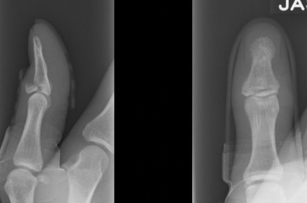
How is the diagnosis made?
The diagnosis is made clinically on the basis of the mechanism of injury, and the presence of tenderness over the end finger joint, with an inability to fully straighten the finger (this is known as an extensor lag). An X-ray will often be performed to look for any fractures.
Mallet fingers are generally STABLE injuries – there is a very small risk of dislocation of the joint associated with a simple mallet injury. The presence of a fracture on xray can indicate a more severe injury, and if the bony fragment is large, the injury should be considered potentially UNSTABLE. This distinction is important because an unstable injury may need an operation to ensure that the end finger joint does not dislocate.
What is the treatment?
A STABLE mallet finger is treated in a splint to keep the finger straight. This holds the 2 ends of the snapped tendon or bone together, and allows them to heal. Tendon heals with scar tissue and takes a significantly longer time to fully heal than bone.
The mallet splint is designed to bend the end finger joint slightly backwards, whilst allowing the middle finger joint to move normally. The splint is worn continuously for the first 6 weeks, and during this time the finger should be kept absolutely straight. If the splint is removed to clean the splint or the finger, it should be done in such a way that the finger is supported in a fully straight position. During these first 6 weeks, the middle finger joint should be mobilised normally.
Heavy lifting using the injured hand should be avoided until the injury has fully healed.

Problems associated with the use of a splint:
– Once the initial swelling goes down, the splint may become loose. This can allow the fingertip joint to bend again.
– If the finger is knocked in the splint, the splint can become too tight, and this produces even more swelling, and give problems getting the splint off and on.
– The skin under the splint can be damaged by either pressure or moisture. This can lead to infection and breakdown of the skin. The splint should be kept clean dry at all times.
Any issue with the splint should be reported to the hand team who are looking after you at the hospital
After week 6, if the finger remains straight, the splint can be removed during the day and worn at night time for another 2 weeks. It can also be used to protect the finger during heavy activity or sport. The finger can be mobilised very gently at this stage.
Between 8 and 10 weeks, the injury should have healed. The splint can now be removed completely, and the hand used for normal day to day activity.
An UNSTABLE mallet injury is usually treated with an operation, and wires used to fix the bone in position. This may also be necessary if the injury is associated with a deep cut. The wires are removed at around 6 weeks, and by this stage, the bone has healed and the injury now stable. The rest of the hand can mobilise normally during the first 6 weeks, and the injured joint mobilised immediately following removal of the wires.


What is the outcome?
Although the majority of injuries are treated successfully and result in normal hand function, it is common to have a residual bend at the fingertip joint. Some patients notice a slight bump at the end joint of the finger, where bone has healed. A residual bump or bend in the finger does not impair function, and treatment for this is not recommended as it is a normal consequence of the injury, rather than something gone wrong.
What are the complications of this injury?
Residual pain in the fingertip is common, but settles within a year. Osteoarthritis of the fingertip joint is relatively common following a bony mallet injury, but this rarely gives rise to significant symptoms.
Occasionally, an unstable injury is mistaken for a stable injury, and this can result in persistent dislocation of the fingertip joint, which does result in pain and loss of function. Severe persisting pain or residual dislocation of the fingertip can be treated with an operation to fuse the fingertip if necessary.

© Lothian Virtual Hand Clinic 2023